STUDIO DENTISTICO GIUGNO 
IMPLANTOLOGIA AVANZATA E CHIRURGIA ORALE

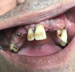
RIABILITAZIONE ARCATA DENTARIA SUPERIORE 

82E8F734-8D37-4B71-94EE-63AD3AA4410E.jpg
ABDEB6F0-35DA-4C2E-95AA-AE6F1F941359.jpg
D401060D-11BD-4FB7-A2B3-D6080D1B5206.jpg

RIABILITAZIONE DELLA ARCATA DENTARIA SUPERIORE

Le foto mostrano le condizioni della arcata dentaria superiore del paziente perima del tratatmento, che prevedeva una prima fase di bonifica del cavo orale con rimodellamento osseo e GBR, cui è seguita immediatamente lo stesso giorno l'applicazione di una protesi totale superiore.
Tra 60-90 giorni il paziente verrà sottoposta a trattamento implantologico con applicazione di denti fissi in zirconia-ceramica.